Καρδιολόγος

Πρώτος Καρδιολόγος

Υπηρεσίες

Εδώ θα βρείτε μερικές από τις Υπηρεσίες μας.
ΔΙΑΓΝΩΣΤΙΚΕΣ ΕΞΕΤΑΣΕΙΣ Αρτηριών
ΔΙΑΓΝΩΣΤΙΚΕΣ ΕΞΕΤΑΣΕΙΣ Αρτηριών

Οι διαγνωστικές εξετάσεις των αρτηριών περιλαμβάνουν διάφορες μεθόδους που χρησιμοποιούνται για να αξιολογήσουν την κατάσταση και τη λειτουργία των αρτηριών.

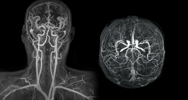
Μαγνητική Αγγειογραφία (MRA)
Μαγνητική Αγγειογραφία (MRA)

Η Μαγνητική Αγγειογραφία (MRA) είναι μια μη επεμβατική εξέταση που χρησιμοποιεί τη μαγνητική τεχνολογία και τους υπολογιστές για να δημιουργήσει λεπτομερείς εικόνες των αγγείων στο εσωτερικό του σώματος, συμπεριλαμβανομένων των αρτηριών και των φλεβών.

Doppler Αγγείων – Σφυροβραχιόνιος Αρτηριακός Δείκτης Πίεσης (ABPI)
Doppler Αγγείων – Σφυροβραχιόνιος Αρτηριακός Δείκτης Πίεσης (ABPI)

Ο ABPI είναι χρήσιμος για την αξιολόγηση της περιφερικής αρτηριακής ανεπάρκειας.

Μικροσκληροθεραπεία
Μικροσκληροθεραπεία

Η μικροσκληροθεραπεία είναι μια θεραπευτική διαδικασία που χρησιμοποιείται για τη θεραπεία κιρσών και άλλων αγγειακών διαταραχών.

Αξονική Αγγειογραφία (CTA)
Αξονική Αγγειογραφία (CTA)

Η Αξονική Αγγειογραφία (CTA) είναι μια ιατρική εξέταση που χρησιμοποιεί τεχνολογία της υπολογιστικής τομογραφίας (CT) για να παράγει λεπτομερείς εικόνες των αγγείων.

Έγχρωμο Υπερηχογράφημα Αγγείων
Έγχρωμο Υπερηχογράφημα Αγγείων (Colored Ultrasound Duplex Scan)

Το Έγχρωμο Υπερηχογράφημα Αγγείων, επίσης γνωστό ως Colored Ultrasound Duplex Scan, είναι μια εξέταση που συνδυάζει δύο τεχνικές υπερήχων για τον έλεγχο των αγγείων.

Ψηφιακή Αφαιρετική Αγγειογραφία (DSA)
Ψηφιακή Αφαιρετική Αγγειογραφία (DSA)

Η Ψηφιακή Αφαιρετική Αγγειογραφία (Digital Subtraction Angiography – DSA) είναι μια διαγνωστική τεχνική που χρησιμοποιείται για την εικονογράφηση των αγγείων με υψηλή ανάλυση.

Θεραπεία κιρσών με Laser
Θεραπεία κιρσών με Laser

Η μέθοδος αυτή συχνά χρησιμοποιείται ως εναλλακτική λύση στις παραδοσιακές χειρουργικές επεμβάσεις, όπως η φλεβεκτομή.

Ένα σύγχρονο ιατρείο

Ένα σύγχρονο και τεχνολογικό ιατρείο καρδιολόγου θα ενσωματίζει πολλές σύγχρονες τεχνολογίες και πρακτικές προκειμένου να παρέχει υψηλής ποιότητας υπηρεσίες φροντίδας υγείας. Ορισμένα χαρακτηριστικά που μπορεί να έχει ένα τέτοιο ιατρείο περιλαμβάνουν:

  1. Ψηφιακά Ιατρικά Συστήματα (EMR/EHR): Χρήση ηλεκτρονικών φακέλων υγείας για την καταγραφή, διαχείριση και ανταλλαγή πληροφοριών για τους ασθενείς.
  2. Εξειδικευμένος Εξοπλισμός: Χρήση σύγχρονων ιατρικών συσκευών για τη διάγνωση και την παρακολούθηση καρδιακών προβλημάτων, όπως ECG, Holter monitor, και αιματολογικές εξετάσεις.
  3. Τηλεϊατρική: Δυνατότητα παροχής υπηρεσιών υγείας μέσω διαδικτύου για απομακρυσμένη παρακολούθηση και συμβουλευτική.
  4. Συστήματα Συναγερμού και Επιτήρησης: Αυτόματη επιτήρηση και ειδοποίηση σε περίπτωση κρίσιμων καταστάσεων.
  5. Διαδικτυακή Πρόσβαση για Ραντεβού: Δυνατότητα κλεισίματος ραντεβού και διαχείρισης προσωπικών πληροφοριών μέσω διαδικτύου.
  6. Εκπαίδευση Ασθενών με Χρήση Τεχνολογίας: Παροχή εκπαίδευσης στους ασθενείς σχετικά με την καρδιακή υγεία με τη χρήση ποικίλων τεχνολογιών, όπως βίντεο, εφαρμογές κινητών, και άλλα.
  7. Συνεργασία με Άλλους Επαγγελματίες Υγείας: Διασύνδεση με άλλους γιατρούς και ειδικούς για την ολοκληρωμένη φροντίδα του ασθενούς.

Αυτά τα στοιχεία συνθέτουν ένα σύγχρονο ιατρείο καρδιολόγου που επιδιώκει να παρέχει αποτελεσματική, προηγμένη και ασφαλή φροντίδα για τους ασθενείς του.

Ώρες λειτουργίας
Δευτέρα – Παρασκευή: 9 – 18
Διεύθυνση
Κάπου 13, 6ος όροφος, Αθήνα

Εποικονωνία
Τηλ.: +30 2101122333